Komunitas Tanpa Rokok (KOTARO) - Diskusi

Topik

Komunitas Tanpa Rokok (KOTARO)

Gatak, Sukoharjo

Diskusi Komunitas

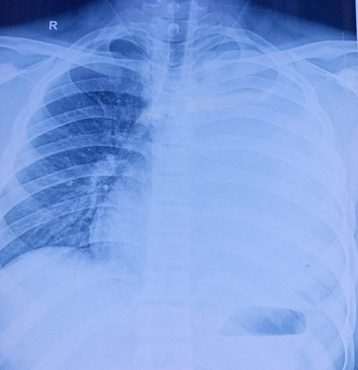
MENGENAL BRONKOPNEUMONIA

𝗠𝗘𝗡𝗚𝗘𝗡𝗔𝗟 𝗕𝗥𝗢𝗡𝗞𝗢𝗣𝗡𝗘𝗨𝗠𝗢𝗡𝗜𝗔 #Bronkopneumonia adalah penyakit infeksi pernapasan di bronkus paru-paru yang disebabkan oleh bakteri/jamur/virus. 𝗕𝗿𝗼𝗻𝗸𝗼𝗽𝗻𝗲𝘂𝗺𝗼𝗻𝗶𝗮 𝘂𝗺𝘂𝗺 𝘁𝗲𝗿𝗷𝗮𝗱𝗶 𝗽𝗮𝗱𝗮 𝗮𝗻𝗮𝗸 𝘂𝘀𝗶𝗮 𝗱𝗶 𝗯𝗮𝘄𝗮𝗵 𝟮 𝘁𝗮𝗵 ... Selengkapnya

Komunitas Tanpa Rokok (KOTARO)

Kasihan, Bantul

Diskusi Komunitas

KANTONG KERING KARENA ROKOK

𝗞𝗔𝗡𝗧𝗢𝗡𝗚 𝗞𝗘𝗥𝗜𝗡𝗚 𝗞𝗔𝗥𝗘𝗡𝗔 𝗥𝗢𝗞𝗢𝗞 Yakin masih mau menunda untuk berhenti merokok? Fakta yang jarang sekali kalian sadari yaitu selain menyebabkan kanker paru-paru, kanker mulut, kanker lidah, dan kanker la ... Selengkapnya

Komunitas Tanpa Rokok (KOTARO)

Jakarta Pusat

Diskusi Komunitas

NYOK KITE BUAT JAKARTA LEBIH SEHAT TANPA ASAP ROKOK!

𝗡𝗬𝗢𝗞 𝗞𝗜𝗧𝗘 𝗕𝗨𝗔𝗧 𝗝𝗔𝗞𝗔𝗥𝗧𝗔 𝗟𝗘𝗕𝗜𝗛 𝗦𝗘𝗛𝗔𝗧 𝗧𝗔𝗡𝗣𝗔 𝗔𝗦𝗔𝗣 𝗥𝗢𝗞𝗢𝗞! Bertepatan dengan HUT DKI Jakarta ke-495 yang diperingati setiap 22 Juni yang lalu, warga ibu kota dapat "kado" polusi udara yang pastinya berpeng ... Selengkapnya

Komunitas Tanpa Rokok (KOTARO)

Hulu Sungai Selatan

Diskusi Komunitas

BUNUH DIRI DENGAN ROKOK

𝗕𝗨𝗡𝗨𝗛 𝗗𝗜𝗥𝗜 𝗗𝗘𝗡𝗚𝗔𝗡 𝗥𝗢𝗞𝗢𝗞 Orang yang bunuh diri akan diadzab di neraka dengan cara seperti apa yang ia lakukan saat membunuh dirinya, jika ia membunuh dirinya dengan besi seperti 𝗽𝗶𝘀𝗮𝘂, 𝗽𝗮𝗸𝘂 atau lainn ... Selengkapnya

Komunitas Tanpa Rokok (KOTARO)

Denpasar

Diskusi Komunitas

SATPOL PP BERANGUS SPANDUK IKLAN ROKOK

𝗦𝗔𝗧𝗣𝗢𝗟 𝗣𝗣 𝗕𝗘𝗥𝗔𝗡𝗚𝗨𝗦 𝗦𝗣𝗔𝗡𝗗𝗨𝗞 𝗜𝗞𝗟𝗔𝗡 𝗥𝗢𝗞𝗢𝗞 𝗗𝗘𝗡𝗣𝗔𝗦𝗔𝗥, 𝗕𝗔𝗟𝗜 𝗘𝗫𝗣𝗥𝗘𝗦𝗦 – Iklan rokok saat ini sudah dilarang keras di luar ruangan. Namun beberapa masih ada yang mencuri-curi kesempatan memasang spanduk rokok ... Selengkapnya

Komunitas Tanpa Rokok (KOTARO)

Gambir, Jakarta Pusat

Diskusi Komunitas

Mendorong Legislatif Dan Eksekutif Untuk Segera Mengundangkan Rancangan Perda KTR DKI Jakarta

𝗠𝗲𝗻𝗱𝗼𝗿𝗼𝗻𝗴 𝗟𝗲𝗴𝗶𝘀𝗹𝗮𝘁𝗶𝗳 𝗗𝗮𝗻 𝗘𝗸𝘀𝗲𝗸𝘂𝘁𝗶𝗳 𝗨𝗻𝘁𝘂𝗸 𝗦𝗲𝗴𝗲𝗿𝗮 𝗠𝗲𝗻𝗴𝘂𝗻𝗱𝗮𝗻𝗴𝗸𝗮𝗻 𝗥𝗮𝗻𝗰𝗮𝗻𝗴𝗮𝗻 𝗣𝗲𝗿𝗮𝘁𝘂𝗿𝗮𝗻 𝗗𝗮𝗲𝗿𝗮𝗵 𝗞𝗮𝘄𝗮𝘀𝗮𝗻 𝗧𝗮𝗻𝗽𝗮 𝗥𝗼𝗸𝗼𝗸 𝗗𝗞𝗜 𝗝𝗮𝗸𝗮𝗿𝘁𝗮 Selasa, 22 Juni 2022, Forum Warga Kota (FAKTA) Indonesia bersama dengan Yayasa ... Selengkapnya

Komunitas Tanpa Rokok (KOTARO)

Mampang Prapatan, Jakarta Selatan

Diskusi Komunitas

MUNGKIN INI LEBIH COCOK, BUKAN SMOKING ROOM TAPI KILLING ROOM!

𝗠𝗨𝗡𝗚𝗞𝗜𝗡 𝗜𝗡𝗜 𝗟𝗘𝗕𝗜𝗛 𝗖𝗢𝗖𝗢𝗞, 𝗕𝗨𝗞𝗔𝗡 𝗦𝗠𝗢𝗞𝗜𝗡𝗚 𝗥𝗢𝗢𝗠 𝗧𝗔𝗣𝗜 𝗞𝗜𝗟𝗟𝗜𝗡𝗚 𝗥𝗢𝗢𝗠! Data tentang Rokok : * 90 % kematian akibat kanker paru adalah akibat merokok * 80% kematian akibat Penyakit Paru Obstruktif Kronik (PPO ... Selengkapnya

Komunitas Tanpa Rokok (KOTARO)

Mengwi, Badung

Diskusi Komunitas

POLRES BULELENG AKAN MENILANG PENGENDARA YANG NGUDUT (MEROKOK) SAMBIL BERKENDARA

𝗣𝗢𝗟𝗥𝗘𝗦 𝗕𝗨𝗟𝗘𝗟𝗘𝗡𝗚 𝗔𝗞𝗔𝗡 𝗠𝗘𝗡𝗜𝗟𝗔𝗡𝗚 𝗣𝗘𝗡𝗚𝗘𝗡𝗗𝗔𝗥𝗔 𝗬𝗔𝗡𝗚 𝗡𝗚𝗨𝗗𝗨𝗧 (𝗠𝗘𝗥𝗢𝗞𝗢𝗞) 𝗦𝗔𝗠𝗕𝗜𝗟 𝗕𝗘𝗥𝗞𝗘𝗡𝗗𝗔𝗥𝗔 Masih berani merokok sambil berkendara? Polisi berjanji akan menindak tegas para pengendara yang merokok sambil berke ... Selengkapnya

Komunitas Tanpa Rokok (KOTARO)

Kab. Mojokerto

Diskusi Komunitas

KEBIASAAN MEROKOK BISA MEMICU HERNIA

𝗞𝗘𝗕𝗜𝗔𝗦𝗔𝗔𝗡 𝗠𝗘𝗥𝗢𝗞𝗢𝗞 𝗕𝗜𝗦𝗔 𝗠𝗘𝗠𝗜𝗖𝗨 𝗛𝗘𝗥𝗡𝗜𝗔 Hernia atau turun berok adalah kondisi yang terjadi ketika organ dalam tubuh menekan dan mencuat melalui jaringan otot atau sekitar jaringan ikat yang lemah. Jari ... Selengkapnya

Komunitas Tanpa Rokok (KOTARO)

Penjaringan, Jakarta Utara

Diskusi Komunitas

BAJU PEROKOK SAMA BAHAYANYA BAGI ANAK

𝗕𝗔𝗝𝗨 𝗣𝗘𝗥𝗢𝗞𝗢𝗞 𝗦𝗔𝗠𝗔 𝗕𝗔𝗛𝗔𝗬𝗔𝗡𝗬𝗔 𝗕𝗔𝗚𝗜 𝗔𝗡𝗔𝗞 Asap rokok terbukti tidak hanya mengganggu kesehatan perokoknya, tetapi juga mengganggu kesehatan siapapun yang ada di sekitarnya, para perokok pasif. Asap roko ... Selengkapnya

Komunitas Tanpa Rokok (KOTARO)

Pasar Rebo, Jakarta Timur

Diskusi Komunitas

TIPS UNTUK MENGHINDARI AGAR TIDAK MEROKOK

𝗧𝗜𝗣𝗦 𝗨𝗡𝗧𝗨𝗞 𝗠𝗘𝗡𝗚𝗛𝗜𝗡𝗗𝗔𝗥𝗜 𝗔𝗚𝗔𝗥 𝗧𝗜𝗗𝗔𝗞 𝗠𝗘𝗥𝗢𝗞𝗢𝗞 Sahabat, Gimana nih caranya kalau kita mau menghindari merokok, walaupun tergolong hal yang sulit tapi semoga tips berikut bisa membantu sahabat yang ingin ... Selengkapnya

Komunitas Tanpa Rokok (KOTARO)

Pasar Kliwon, Surakarta

Diskusi Komunitas

PENYEBAB PENYAKIT JANTUNG KORONER YANG HARUS DIWASPADAI!

𝗣𝗘𝗡𝗬𝗘𝗕𝗔𝗕 𝗣𝗘𝗡𝗬𝗔𝗞𝗜𝗧 𝗝𝗔𝗡𝗧𝗨𝗡𝗚 𝗞𝗢𝗥𝗢𝗡𝗘𝗥 𝗬𝗔𝗡𝗚 𝗛𝗔𝗥𝗨𝗦 𝗗𝗜𝗪𝗔𝗦𝗣𝗔𝗗𝗔𝗜! 𝟭. 𝗦𝗧𝗥𝗘𝗦𝗦 Faktanya, stress dapat memicu terjadinya penyakit jantung. Pasalnya, saat seseorang stress, maka napas menjadi lebih cepat, mengala ... Selengkapnya

Komunitas Tanpa Rokok (KOTARO)

Jakarta Timur

Diskusi Komunitas

PEROKOK PASIF TERNYATA 4 X LIPAT BERISIKO TERKENA KANKER

TAHUKAH KAMU? 𝗣𝗘𝗥𝗢𝗞𝗢𝗞 𝗣𝗔𝗦𝗜𝗙 𝗧𝗘𝗥𝗡𝗬𝗔𝗧𝗔 𝟰 𝗫 𝗟𝗜𝗣𝗔𝗧 𝗕𝗘𝗥𝗜𝗦𝗜𝗞𝗢 𝗧𝗘𝗥𝗞𝗘𝗡𝗔 𝗞𝗔𝗡𝗞𝗘𝗥 Hal ini dikarenakan perokok pasif menghisap asap rokok tanpa filter yang telah keluar dari paru-paru perokok, sedangkan perokok ... Selengkapnya

Komunitas Tanpa Rokok (KOTARO)

Jakarta Timur

Diskusi Komunitas

6 EFEK BURUK ROKOK BAGI WANITA

Bahaya Rokok Pada Wanita, Dari Menopause Hingga Keguguran Di era sekarang ini, rasanya enggak heran lagi melihat wanita yang merokok seperti layaknya kaum pria. Ya kan? Namun sebagai wanita yang san ... Selengkapnya

Komunitas Tanpa Rokok (KOTARO)

Pal Merah, Jakarta Barat

Diskusi Komunitas

KUMPULAN ARTIKEL RUMAYSHO TENTANG ROKOK

𝗞𝗨𝗠𝗣𝗨𝗟𝗔𝗡 𝗔𝗥𝗧𝗜𝗞𝗘𝗟 𝗥𝗨𝗠𝗔𝗬𝗦𝗛𝗢 𝗧𝗘𝗡𝗧𝗔𝗡𝗚 𝗥𝗢𝗞𝗢𝗞 Maaf njih singgung rokok lagi, biar kita sama-sama enak, gak menzalimi yang lain yang gak senang dengan asap rokok. Sumber : Muhammad Abduh Tuasikal @mabduhtu ... Selengkapnya

Komunitas Tanpa Rokok (KOTARO)

Pancoran, Jakarta Selatan

Diskusi Komunitas

DENDANYA BIKIN NANGIS, PIKIR LAGI KALAU MAU BERKENDARA SAMBIL MEROKOK, NYAWA JADI TARUHANNYA

𝗗𝗘𝗡𝗗𝗔𝗡𝗬𝗔 𝗕𝗜𝗞𝗜𝗡 𝗡𝗔𝗡𝗚𝗜𝗦, 𝗣𝗜𝗞𝗜𝗥 𝗟𝗔𝗚𝗜 𝗞𝗔𝗟𝗔𝗨 𝗠𝗔𝗨 𝗕𝗘𝗥𝗞𝗘𝗡𝗗𝗔𝗥𝗔 𝗦𝗔𝗠𝗕𝗜𝗟 𝗠𝗘𝗥𝗢𝗞𝗢𝗞, 𝗡𝗬𝗔𝗪𝗔 𝗝𝗔𝗗𝗜 𝗧𝗔𝗥𝗨𝗛𝗔𝗡𝗡𝗬𝗔 𝗢𝘁𝗼𝗺𝗮𝗻𝗶𝗮.𝗰𝗼𝗺 — Dendanya bikin nangis, pikir lagi kalau mau berkendara sambil merokok, nyawa jadi taruhanny ... Selengkapnya

Komunitas Tanpa Rokok (KOTARO)

Cisompet, Garut

Diskusi Komunitas

DAMPAK BURUK MEROKOK PADA KESEHATAN GIGI DAN MULUT

𝗗𝗔𝗠𝗣𝗔𝗞 𝗕𝗨𝗥𝗨𝗞 𝗠𝗘𝗥𝗢𝗞𝗢𝗞 𝗣𝗔𝗗𝗔 𝗞𝗘𝗦𝗘𝗛𝗔𝗧𝗔𝗡 𝗚𝗜𝗚𝗜 𝗗𝗔𝗡 𝗠𝗨𝗟𝗨𝗧 𝗣𝗥𝗜𝗔𝗡𝗚𝗔𝗡𝗧𝗜𝗠𝗨𝗥𝗡𝗘𝗪𝗦 — Merokok sudah menjadi kebiasaan dalam kehidupan manusia, khususnya kaum laki-laki. Dimanapun dan kapanpun, kebiasaan merokok ini ... Selengkapnya

Komunitas Tanpa Rokok (KOTARO)

Jakarta Utara

Diskusi Komunitas

PANTAI TANPA ROKOK!, JAUHKAN LAUT DARI SAMPAH ROKOK!

𝗣𝗔𝗡𝗧𝗔𝗜 𝗧𝗔𝗡𝗣𝗔 𝗥𝗢𝗞𝗢𝗞!, 𝗝𝗔𝗨𝗛𝗞𝗔𝗡 𝗟𝗔𝗨𝗧 𝗗𝗔𝗥𝗜 𝗦𝗔𝗠𝗣𝗔𝗛 𝗥𝗢𝗞𝗢𝗞! Meramaikan Jakarta Hajatan ke-495 sekaligus memperingati Hari Tanpa Tembakau Sedunia dan Hari Laut Sedunia lewat aksi bersih pantai dan laut serta ... Selengkapnya